Рентгенография грудной клетки — важный диагностический инструмент для оценки состояния органов дыхательной системы, сердца и других структур грудной клетки. В статье рассмотрим, что показывает рентген грудной клетки, его цели, рекомендации по подготовке пациента и этапы проведения процедуры. Эта информация будет полезна пациентам и медицинским специалистам для лучшего понимания рентгенографии в диагностике заболеваний.
Что такое рентгенография
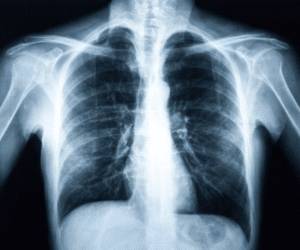
Рентгенография грудной клетки знакома, вероятно, каждому второму человеку, так как многие проходили эту процедуру хотя бы раз в жизни. Однако не все осознают, что рентгенография грудной клетки является одной из ее форм. Этот метод заключается в пропускании ионизирующего излучения через исследуемую область.
Если ткани имеют плотную структуру, они отражают излучение, а мягкие ткани – пропускают его. Поэтому на рентгеновском снимке четко видны светлые участки, указывающие на здоровье, и затемненные области, свидетельствующие о наличии патологии.
Разумеется, различные органы и кости отличаются по своей структуре, что приводит к различным оттенкам затемнения на снимке. Специалисты научились выявлять патологические изменения благодаря накопленному практическому опыту. Зачем же проводится рентгенография грудной клетки? Эта процедура позволяет выявить серьезные заболевания в данной области.
Рентген грудной клетки является важным инструментом в диагностике различных заболеваний органов дыхания и сердечно-сосудистой системы. Врачи отмечают, что этот метод позволяет визуализировать легкие, сердце, а также крупные сосуды и костные структуры грудной клетки. С его помощью можно выявить пневмонию, туберкулез, опухоли, а также оценить состояние плевры.
Специалисты подчеркивают, что рентгенография помогает в ранней диагностике заболеваний, что значительно увеличивает шансы на успешное лечение. Однако важно помнить, что рентген не всегда дает полную картину, и в некоторых случаях может потребоваться дополнительное обследование, например, компьютерная томография. В целом, рентген грудной клетки остается незаменимым методом в практике врачей, позволяя быстро и эффективно оценить состояние пациента.
https://youtube.com/watch?v=W88GZT_ziNg
В каких случаях назначается
Перед тем как назначить рентгенографию, врач осуществляет визуальный осмотр, пальпацию и анализирует все симптомы и жалобы пациента. Частое проведение данной процедуры может негативно сказаться на здоровье человека, поэтому рентген обычно применяется как вспомогательный метод диагностики.
Показания для назначения рентгенографии:
- Одышка.
- Мокрота с гнойными примесями.
- Постоянный кашель.
- Травмы грудной клетки.
- Лихорадка неясного происхождения.
- Сильные боли в области груди.
- Запланированная операция на легких.
Среди противопоказаний можно выделить:
- по сравнению с другими методами диагностики (КТ, МРТ) рентген менее информативен;
- излучение, возникающее во время рентгенографии, может негативно воздействовать на мягкие ткани организма;
- использование контрастных веществ также может иметь неблагоприятные последствия;
- рентгенография запрещена для детей до 16 лет;
- нежелательно частое проведение рентгена. Если процедура была выполнена совсем недавно, следует отложить её или рассмотреть альтернативные методы диагностики;
- беременность (радиация может оказать вредное воздействие на развитие плода);
Важно. После выполнения рентгенографии, снимок может храниться длительное время, что является безусловным плюсом.
| Что показывает рентген грудной клетки | Возможные причины/состояния | Дополнительная информация |
|---|---|---|
| Изменения в легких (инфильтраты, затемнения, полости) | Пневмония, туберкулез, опухоли, абсцессы, отек легких | Могут указывать на воспалительные процессы, инфекции, новообразования или скопление жидкости. |
| Изменения в плевральной полости (выпот, утолщение плевры) | Плеврит, эмпиема, мезотелиома, травма грудной клетки | Скопление жидкости (выпот) или утолщение оболочек легких (плевры) может быть вызвано воспалением, инфекцией, опухолью или травмой. |
| Изменения в сердце и крупных сосудах (увеличение размеров, изменение контуров) | Кардиомегалия, аневризма аорты, перикардит | Увеличение сердца может свидетельствовать о сердечной недостаточности или других кардиологических проблемах. Изменения в аорте могут указывать на аневризму. |
| Изменения в костях грудной клетки (переломы, опухоли, деформации) | Травмы, метастазы, остеомиелит, сколиоз | Переломы ребер или грудины, опухоли костей, а также искривления позвоночника (сколиоз) могут быть видны на рентгене. |
| Наличие инородных тел | Проглоченные предметы, медицинские устройства (катетеры, стенты) | Рентген может выявить наличие инородных тел в дыхательных путях, пищеводе или других структурах грудной клетки. |
| Пневмоторакс (наличие воздуха в плевральной полости) | Травма, спонтанный пневмоторакс, осложнение медицинских процедур | Скопление воздуха между легким и грудной стенкой, что приводит к коллапсу легкого. |
| Ателектаз (спадение части или всего легкого) | Закупорка бронхов, сдавление легкого, послеоперационные осложнения | Участок легкого, который не наполняется воздухом, может быть вызван обструкцией дыхательных путей или внешним давлением. |
| Изменения в диафрагме (высокое стояние, грыжа) | Диафрагмальная грыжа, паралич диафрагмы, увеличение органов брюшной полости | Неправильное положение или форма диафрагмы может указывать на грыжу или нарушение ее функции. |
| Изменения в средостении (увеличение лимфоузлов, опухоли) | Лимфома, саркоидоз, тимома, метастазы | Средостение – это пространство между легкими. Увеличение лимфоузлов или наличие опухолей в этой области может указывать на различные заболевания. |
Что показывает диагностика
Иногда врач может рекомендовать повторное выполнение рентгенографии. Безусловно, воздействие радиации может негативно сказаться на здоровье. Тем не менее, в некоторых ситуациях это менее опасно, чем быстрое развитие серьезного заболевания. Поэтому каждому человеку следует понимать, что может показать рентген грудной клетки и почему он так важен.
На рентгеновском снимке органов грудной клетки можно обнаружить:
- туберкулез;
- инородное тело в области грудной клетки;
- отек легких;
- заболевания сердечно-сосудистой системы (пороки сердца, инфаркт миокарда);
- патологии позвоночника, легких, верхнего отдела желудочно-кишечного тракта, а также рентгенографию ребер и лимфатических узлов;
- наличие жидкости и воздуха в легких или бронхах;
- увеличение воздушности легочной ткани.
Важно. Рентгенография является одним из самых доступных и недорогих методов диагностики.
https://youtube.com/watch?v=DiFYYoq1iaw
Подготовка пациента
Чтобы получить максимально точные результаты обследования, важно знать, как правильно подготовиться к процедуре. Подготовка пациента к рентгенографии грудной клетки не требует особых усилий, но включает несколько важных рекомендаций. К ним относятся:
- Если женщина предполагает возможность беременности, она должна обязательно уведомить врача перед началом исследования. Рентгеновское излучение может привести к выкидышу или вызвать серьезные аномалии в развитии плода. Обычно в период беременности рентген не проводится, но в случае крайней необходимости врач примет специальные меры для защиты ребенка.
- Перед процедурой необходимо снять все металлические аксессуары и украшения, а также зубные протезы и очки. Это связано с тем, что такие предметы могут повлиять на работу аппарата и качество получаемого изображения.
- Перед обследованием следует снять верхнюю одежду (для женщин также бюстгальтер) и надеть специальную рубашку.
Рентгенография органов грудной клетки является одним из самых распространенных методов диагностики, однако она не позволяет обнаружить опухоли небольшого размера и тромбы. В таких случаях могут быть назначены дополнительные исследования и анализы.
Этапы проведения рентгенографии
После подготовки пациента к рентгенографическому исследованию, человек подходит к аппарату, а медицинская сестра прижимает его таз и плечи к рентгеновской пластине. Если медсестры нет рядом, помочь пациенту может врач-рентгенолог. Во время получения снимка аппаратом, пациент не ощущает боли, но может почувствовать металлический привкус во рту.
Часто врач делает рентген грудной клетки в двух проекциях: боковой и прямой. При создании прямой проекции пациент стоит лицом к рентгеновской пластине, а в боковой проекции – поворачивается боком и поднимает руки. Рентгеновская пластина имеет холодную металлическую поверхность, что может вызывать некоторые неудобства. Температура в кабинете обычно составляет около 15-18 градусов.
Существуют ситуации, когда пациент не может самостоятельно стоять во время получения цифрового изображения. Это может быть связано с заболеваниями опорно-двигательного аппарата, суставов, травмами нижних конечностей, а также с патологиями сердечно-сосудистой системы и органов дыхания. В таких случаях пациента укладывают на специальный стол, где необходимо сохранять полную неподвижность.
Во время рентгеновского сканирования пациент должен задержать дыхание. Обычно врач или медсестра сообщают, когда нужно задержать дыхание, и когда можно выдохнуть. Это необходимо, так как движение диафрагмы и легких во время дыхания может привести к нечетким и смазанным снимкам.
Во время процедуры пациент находится в кабинете один, а врач выходит, чтобы избежать воздействия ионизирующего излучения. После получения серии снимков врач или медсестра возвращаются в кабинет и просят подождать до 30 минут для подготовки снимков и их подписания. В целом, вся процедура рентгенографии занимает около 10-15 минут.
Важно. В некоторых случаях может потребоваться повторная рентгенография через несколько дней, недель или даже месяцев, но это необходимо только в особо серьезных ситуациях.
Заключение
Рентгенография грудной клетки – это быстрая и простая процедура, которую следует выполнять при наличии подозрений на наличие патологий или серьезных заболеваний. Также данное обследование рекомендуется проводить в рамках регулярного планового контроля за состоянием здоровья, так как оно является одним из наиболее доступных методов диагностики.
https://youtube.com/watch?v=hRQU8rTh0Pk
Ограничения и противопоказания
Рентгенография грудной клетки является важным диагностическим инструментом, однако, как и любой медицинский метод, она имеет свои ограничения и противопоказания. Понимание этих аспектов критично для обеспечения безопасности пациента и точности диагностики.
Ограничения рентгенографии грудной клетки
- Чувствительность и специфичность: Рентгенография может не выявить некоторые заболевания на ранних стадиях. Например, мелкие опухоли или начальные формы пневмонии могут быть не видны на рентгеновских снимках.
- Качество изображения: Качество рентгеновского снимка может зависеть от различных факторов, таких как положение пациента, настройки аппарата и наличие артефактов, что может затруднить интерпретацию результатов.
- Ограниченная информация: Рентгенография предоставляет двумерное изображение, что может затруднить оценку трехмерных структур, таких как легкие и сердце. В некоторых случаях может потребоваться дополнительная визуализация, например, компьютерная томография (КТ).
Противопоказания к рентгенографии грудной клетки
- Беременность: Рентгенография не рекомендуется для беременных женщин, особенно в первом триместре, из-за потенциального риска воздействия ионизирующего излучения на развивающийся плод. В случаях, когда рентген необходим, следует применять защитные меры, такие как свинцовые фартуки.
- Аллергия на контрастные вещества: Хотя рентгенография грудной клетки обычно не требует использования контрастных веществ, в некоторых случаях может потребоваться их применение. Пациенты с известной аллергией на контрастные вещества должны сообщить об этом врачу.
- Наличие имплантатов: Некоторые медицинские имплантаты могут повлиять на качество изображения или представлять опасность при рентгенографии. Важно сообщить врачу о наличии любых имплантатов перед процедурой.
Таким образом, рентгенография грудной клетки является ценным инструментом в диагностике заболеваний органов грудной клетки, однако ее использование должно быть обосновано и взвешено с учетом всех возможных ограничений и противопоказаний. Врач всегда должен оценивать соотношение риска и пользы для пациента, принимая решение о необходимости проведения данного исследования.
Интерпретация результатов
Рентгенография грудной клетки требует глубоких знаний анатомии, физиологии и патологии органов грудной клетки. Рентгенография позволяет визуализировать легкие, сердце, сосуды, ребра и другие структуры, находящиеся в этой области. Основные аспекты, на которые следует обратить внимание при анализе рентгеновских снимков, включают:
- Положение пациента: Важно учитывать, в каком положении был сделан снимок (стоя, сидя или лежа), так как это может влиять на распределение жидкости и воздуха в легких.
- Качество снимка: Четкость изображения, контрастность и отсутствие артефактов играют ключевую роль в правильной интерпретации. Нечеткие или искаженные изображения могут привести к ошибкам в диагнозе.
- Анатомические структуры: Необходимо внимательно изучить контуры сердца, легких, диафрагмы и других органов. Например, увеличение сердца может указывать на сердечную недостаточность, а асимметрия легких может свидетельствовать о наличии патологии.
- Тени и затемнения: Обратите внимание на любые аномальные тени, которые могут указывать на наличие опухолей, воспалительных процессов или других заболеваний. Затемнения в легких могут быть признаком пневмонии, отека или даже рака.
- Состояние плевры: Рентгенография позволяет выявить наличие плеврального выпота, который может быть признаком различных заболеваний, включая инфекционные процессы и опухоли.
- Состояние легочных сосудов: Изменения в легочных сосудах, такие как расширение или сужение, могут указывать на легочную гипертензию или другие сосудистые заболевания.
- Сравнительный анализ: Сравнение с предыдущими рентгенограммами может помочь выявить динамику заболевания и оценить эффективность лечения.
Важно помнить, что интерпретация рентгеновских снимков должна проводиться квалифицированным специалистом, так как неправильная интерпретация может привести к неверному диагнозу и, как следствие, к неэффективному лечению. В некоторых случаях может потребоваться дополнительная визуализация, такая как КТ или МРТ, для более точной диагностики.
Сравнение с другими методами диагностики
Рентгенография грудной клетки является одним из наиболее распространенных методов визуализации, используемых в медицинской практике. Однако, в сравнении с другими методами диагностики, такими как компьютерная томография (КТ), магнитно-резонансная томография (МРТ) и ультразвуковое исследование (УЗИ), рентген имеет свои уникальные преимущества и ограничения.
Одним из основных преимуществ рентгенографии является её доступность и скорость выполнения. Процедура занимает всего несколько минут, а результаты обычно доступны в течение короткого времени. Это делает рентген идеальным инструментом для экстренной диагностики, например, при подозрении на пневмонию, травмы грудной клетки или наличие жидкости в плевральной полости.
Сравнительно с КТ, рентгенография предоставляет менее детализированное изображение. КТ позволяет получить послойные изображения органов и тканей, что значительно улучшает визуализацию мелких структур и патологий. Например, при подозрении на опухоль или метастазы в легких, КТ может дать более полное представление о размере, форме и расположении образования. Однако, КТ требует больше времени на выполнение и облучает пациента более высокой дозой радиации.
МРТ, в свою очередь, является более сложным и дорогостоящим методом, который не всегда доступен в экстренных ситуациях. МРТ не использует ионизирующее излучение, что делает его безопасным для пациентов, особенно для беременных женщин и детей. Однако, для визуализации легких и структур грудной клетки МРТ не так эффективна, как рентгенография или КТ, поскольку воздух в легких создает артефакты, затрудняющие интерпретацию изображений.
Ультразвуковое исследование также имеет свои преимущества, особенно в оценке состояния плевральной полости и сердечно-сосудистой системы. УЗИ не использует радиацию и может быть выполнено в реальном времени, что позволяет врачу сразу оценить динамику состояния пациента. Однако, УЗИ не может заменить рентгенографию при диагностике заболеваний легких, таких как пневмония или туберкулез, поскольку не дает четкого изображения легочной ткани.
Таким образом, рентгенография грудной клетки остается важным и незаменимым методом диагностики, особенно в экстренных ситуациях. Однако, для более детального изучения определенных патологий могут потребоваться дополнительные методы визуализации, такие как КТ или МРТ, в зависимости от клинической ситуации и состояния пациента.


