Осумкованный плеврит — серьезное заболевание, требующее внимательной диагностики и лечения. В статье рассмотрим, что такое осумкованный плеврит, его симптомы и причины, а также эффективные методы лечения, включая традиционные препараты и народные средства. Знание о заболевании и его лечении поможет распознать симптомы и обратиться за медицинской помощью, что улучшит качество жизни и предотвратит осложнения.
Этиология болезни
Что такое осумкованный плеврит? Это вторичное заболевание, которое проявляется в виде поражения легочного плевра.
При этом заболевании развивается воспалительный процесс, сопровождающийся локальным накоплением экссудата — жидкости, выделяемой из капилляров и мелких вен.
В некоторых случаях осумкованный выпот (скопление жидкости) может достигать критического уровня и приводить к образованию злокачественной опухоли. В таких ситуациях необходимо хирургическое вмешательство.
Данная патология является вторичным заболеванием, возникающим на фоне пневмонии или острого туберкулеза. Она не развивается самостоятельно и является лишь побочным эффектом других заболеваний.
Важно! К сожалению, данное заболевание может затрагивать людей всех возрастов, однако чаще всего оно встречается у детей в возрасте от 7 до 14 лет.
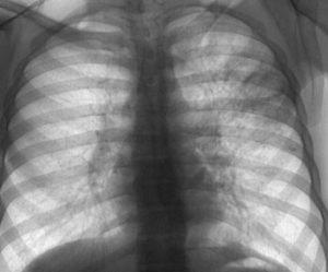
Врачи отмечают, что лечение осумкованного плеврита требует комплексного подхода. В первую очередь, важно провести точную диагностику, чтобы определить причину заболевания. Обычно назначаются рентгенография и ультразвуковое исследование, которые помогают оценить состояние плевральной полости.
Основным методом лечения является дренирование плевральной полости, что позволяет удалить накопившуюся жидкость и облегчить дыхание пациента. В некоторых случаях может потребоваться хирургическое вмешательство, особенно если консервативные методы не приносят результата.
Кроме того, врачи подчеркивают важность назначения антибиотиков, если причиной плеврита является инфекция. Также рекомендуется проводить противовоспалительную терапию для снижения воспалительного процесса. Важно, чтобы лечение проводилось под наблюдением специалиста, так как неправильный подход может привести к осложнениям. В целом, своевременное обращение к врачу и соблюдение всех рекомендаций способствуют успешному выздоровлению.
https://youtube.com/watch?v=umFZjj6orRM
Причины развития
Причины возникновения осумкованного плеврита тесно связаны с наличием других заболеваний легких.
После перенесенной пневмонии дыхательная система оказывается в уязвимом состоянии из-за снижения иммунной защиты организма, а также накопления экссудативной жидкости.
Иногда данное заболевание может быть вызвано развивающейся злокачественной опухолью.
Осумкованный плеврит может возникнуть вследствие серьезной инфекционной патологии. К его развитию могут привести кандидоз, микоплазмоз и другие грибковые инфекции.
Сложность заключается в том, что выявить плеврит без устранения основного заболевания практически невозможно. Даже на рентгеновском снимке плевральное скопление экссудативной жидкости будет выглядеть как темное пятно, что может быть ошибочно интерпретировано как туберкулезное поражение легких.
| Аспект лечения | Описание | Примечания |
|---|---|---|
| Диагностика | Рентгенография грудной клетки, УЗИ плевральной полости, КТ грудной клетки, диагностическая пункция плевральной полости с анализом экссудата. | Важно для определения характера выпота (серозный, гнойный, геморрагический) и выявления возбудителя. |
| Антибактериальная терапия | Широкоспектральные антибиотики (цефалоспорины, фторхинолоны, карбапенемы) с последующей коррекцией по результатам посева и чувствительности. | Длительность курса определяется клинической картиной и лабораторными показателями. Часто требуется внутривенное введение. |
| Дренирование плевральной полости | Установка дренажной трубки для эвакуации экссудата. Может быть однократной пункцией или постоянным дренированием. | Показано при значительном объеме выпота, гнойном характере, неэффективности консервативной терапии. |
| Фибринолитическая терапия | Введение фибринолитических препаратов (например, урокиназы, стрептокиназы) в плевральную полость для растворения фибриновых сгустков. | Применяется при наличии множественных фибриновых перегородок, препятствующих адекватной эвакуации экссудата. |
| Хирургическое лечение | Торакоскопия (видеоторакоскопия) или открытая торакотомия с декортикацией легкого. | Показано при неэффективности дренирования и фибринолитической терапии, формировании плотных шварт, эмпиеме плевры. |
| Симптоматическая терапия | Обезболивающие препараты, противовоспалительные средства, муколитики (при наличии кашля). | Направлена на облегчение состояния пациента и уменьшение болевого синдрома. |
| Реабилитация | Дыхательная гимнастика, физиотерапия, лечебная физкультура. | Важна для восстановления функции легких и профилактики осложнений (например, плевральных шварт). |
| Мониторинг | Регулярный контроль рентгенографии, УЗИ, анализов крови и плеврального выпота. | Необходим для оценки эффективности лечения и своевременного выявления осложнений. |
Характерные симптомы
Патология может долгое время протекать без явных симптомов, оставаясь в организме как фоновое заболевание. Осумкованный плеврит можно диагностировать по накоплению жидкости и её расположению в области органов дыхания.
Медицинские эксперты смогли сформировать общую картину состояния пациентов и выделили основные симптомы, которые они наблюдают:
- Интенсивные боли в правом боку, которые усиливаются при кашле и становятся острыми.
- Боль уменьшается, если лечь на правый бок.
- Неприятный запах изо рта и наличие слизи при отхаркивании.
- Икота.
- Проблемы с желудочно-кишечным трактом, частые позывы к рвоте.
- Затрудненное дыхание.
- У пациента возникают трудности с полным вдохом, сопровождающимся болевыми ощущениями. Обычно это характерно для осумкованного плеврита справа (поражается правое легкое).
- Общее недомогание и бессонница.
Врач обязательно проводит прослушивание грудной клетки с помощью фонендоскопа. У пациента могут наблюдаться выраженные шумы при вдохе и выдохе, хрипота и надрывное дыхание.
Что такое сухой плеврит и как его распознать?
Узнайте, как лечить острый риносинусит.
https://youtube.com/watch?v=Xad_4MSp-Dg
Диагностика
Диагностические процедуры включают исключительно инструментально-аппаратные исследования. Пациенту назначают рентгеноскопию в различных проекциях для определения характера патологии и выявления ее первопричины.
Если осумкованный плеврит находится на поздней стадии, дополнительным методом диагностики становится компьютерная томография. Эта процедура схожа с рентгеноскопией, но предоставляет возможность получить более детализированные изображения.
При необходимости, особенно в случае значительного поражения бронхов, пациенту может быть рекомендована ангиопульмонография. Это исследование не является обязательным, но может быть полезным. Как только симптомы будут установлены и лечение осумкованного плеврита легких назначено, важно строго следовать рекомендациям врача и завершить курс терапии.
Способы лечения
После того как врач составит полную клиническую картину и определит основную причину заболевания, он назначает комплексное медикаментозное лечение. К сожалению, в некоторых ситуациях скопившаяся жидкость может содержать гной, что приводит к гниению мягких тканей. В таких случаях необходима хирургическая интервенция.
Давайте рассмотрим, какие препараты применяются для терапии осумкованного плеврита и его осложнений.
Что такое гиперпластический ринит?
Узнайте, как справиться с болями в легких при кашле.
Медикаменты
Комплексная медикаментозная терапия включает в себя следующие этапы:
- Прием антибиотиков. Этот шаг служит как для лечения, так и для профилактики. Антибиотики помогают устранить воспалительные процессы и предотвратить дальнейшее развитие заболевания. Врач может назначить такие препараты, как Цефтриаксон, Левофлоксацин или Ампициллин (в случае легкой формы болезни).
- На втором этапе назначаются препараты для снятия воспаления и боли. Для этих целей применяются Нурофен и Индометацин.
- Для предотвращения выпотного плеврита рекомендуется использование мочегонных средств.
- Если у пациента наблюдаются проблемы с сердечно-сосудистой системой, врач может прописать препараты для укрепления сосудов.
Все медикаменты подбираются индивидуально, в зависимости от формы заболевания и степени его тяжести.
Народные средства
Лечение осумкованного плеврита с помощью народных средств должно проводиться только с разрешения врача, если традиционная медикаментозная терапия не приносит ожидаемых результатов. Вот несколько народных рецептов, которые могут быть полезны:
-
Настойка из хрена и лимона. Для приготовления потребуется 100 граммов свежего хрена и 200 мл лимонного сока. Ингредиенты следует тщательно смешать и оставить настаиваться на ночь. Утром, натощак, рекомендуется принимать по 1 чайной ложке полученной смеси.
-
Профилактика с помощью лука. Необходимо взять одну крупную луковицу, измельчить ее и поместить в тарелку. Затем наклоните голову, накройте ее тканью и дышите над луком в течение 20 минут. Этот метод может помочь предотвратить повреждение легких и бронхов.
Важно! Народные средства предлагают разнообразные способы борьбы с осумкованным плевритом, однако их применение должно быть согласовано с врачом.
Чего следует избегать
При наличии заболевания рекомендуется избегать следующих факторов:
- Употребления табачных изделий (необходимо полностью исключить курение).
- Воздействия холодного ветра.
- Важно тщательно защищать грудную клетку, особенно в холодный период.
- Не допускайте переохлаждения или повторного возникновения пневмонии.
Осумкованный плеврит можно успешно лечить, если вовремя завершить терапию и профилактические меры по отношению к первичному заболеванию, которое вызвало данную патологию.
Заключение
Осумкованный плеврит – это серьезное и сложное заболевание, которое становится опасным только в запущенных случаях. Для раннего выявления этой болезни рекомендуется регулярно проходить флюорографию легких и рентгеноскопию дыхательных путей.
https://youtube.com/watch?v=DmpG-sjiozM
Профилактика осумкованного плеврита
является важным аспектом, который может значительно снизить риск развития этого заболевания. Осумкованный плеврит, как правило, возникает в результате осложнений пневмонии, туберкулеза или других заболеваний легких, поэтому ключевыми мерами профилактики являются контроль и лечение этих заболеваний на ранних стадиях.
Одной из основных профилактических мер является своевременная вакцинация против пневмококковой инфекции и гриппа. Вакцинация помогает предотвратить развитие пневмонии, которая может привести к осумкованному плевриту. Особенно важно вакцинироваться людям с ослабленным иммунитетом, пожилым людям и тем, кто страдает хроническими заболеваниями легких.
Также следует уделять внимание здоровому образу жизни. Правильное питание, регулярные физические нагрузки и отказ от курения способствуют укреплению иммунной системы и снижению риска инфекционных заболеваний. Курение, в частности, является одним из факторов, способствующих развитию заболеваний легких, поэтому отказ от него может существенно снизить вероятность возникновения плевритов.
Важно также следить за состоянием здоровья и регулярно проходить медицинские осмотры, особенно если у вас есть предрасположенность к заболеваниям органов дыхания. При появлении первых признаков инфекционных заболеваний, таких как кашель, одышка или боль в груди, необходимо незамедлительно обращаться к врачу для диагностики и лечения.
Кроме того, следует избегать контактов с людьми, у которых есть активные инфекционные заболевания, особенно туберкулез. Если вы находитесь в группе риска, рекомендуется использовать защитные маски и соблюдать меры предосторожности при общении с потенциально зараженными людьми.
Наконец, важно поддерживать чистоту и свежесть воздуха в помещениях, где вы находитесь. Регулярная вентиляция, использование увлажнителей и очистителей воздуха помогут снизить концентрацию патогенных микроорганизмов и аллергенов, что также способствует профилактике заболеваний легких.
Таким образом, профилактика включает в себя комплекс мер, направленных на укрепление иммунной системы, своевременное лечение инфекционных заболеваний и соблюдение здорового образа жизни. Следуя этим рекомендациям, можно значительно снизить риск развития данного заболевания и сохранить здоровье легких.
Осложнения и их лечение
Осумкованный плеврит, представляющий собой воспаление плевры с образованием фиброзной оболочки, может привести к различным осложнениям, которые требуют внимательного подхода к лечению. Одним из наиболее распространенных осложнений является образование плевральных спаек, что может ограничивать подвижность легких и вызывать хроническую боль. В таких случаях важно провести диагностику с помощью рентгенографии или компьютерной томографии для оценки состояния плевральной полости и выявления наличия жидкости или спаек.
Лечение осложнений осумкованного плеврита может включать как консервативные, так и хирургические методы. Консервативное лечение направлено на устранение воспалительного процесса и может включать:
- Антибиотикотерапия: Применение антибиотиков необходимо для борьбы с инфекцией, если она является причиной плеврита. Выбор антибиотиков зависит от предполагаемого возбудителя и может корректироваться в зависимости от результатов микробиологических исследований.
- Противовоспалительные препараты: Нестероидные противовоспалительные средства (НПВС) могут быть использованы для уменьшения боли и воспаления.
- Дренирование плевральной полости: В случае накопления жидкости в плевральной полости может потребоваться дренирование для удаления экссудата и облегчения дыхания. Это может быть выполнено с помощью торакоцентеза или установки дренажа.
Если консервативные методы не приносят облегчения, а состояние пациента продолжает ухудшаться, может потребоваться хирургическое вмешательство. Хирургические методы могут включать:
- Плеврэктомия: Удаление части плевры, что может помочь устранить спайки и улучшить функцию легких.
- Плевродез: Процедура, при которой плевральные листки склеиваются, чтобы предотвратить повторное накопление жидкости. Это может быть достигнуто с помощью введения специальных веществ, таких как тальк, в плевральную полость.
Важно отметить, что выбор метода лечения зависит от общего состояния пациента, наличия сопутствующих заболеваний и степени выраженности осложнений. Поэтому лечение должно проводиться под контролем квалифицированного специалиста, который сможет оценить все риски и преимущества различных подходов.
Кроме того, после лечения важно проводить регулярные обследования для мониторинга состояния плевральной полости и предотвращения рецидивов. В некоторых случаях может потребоваться реабилитация, направленная на восстановление функции легких и улучшение качества жизни пациента.
Реабилитация после лечения
Реабилитация после лечения осумкованного плеврита является важным этапом, который помогает восстановить функции дыхательной системы, улучшить общее состояние пациента и предотвратить возможные рецидивы заболевания. Процесс реабилитации может включать в себя несколько ключевых компонентов, таких как дыхательная гимнастика, физическая терапия, диетическое питание и психологическая поддержка.
Дыхательная гимнастика
Одним из основных методов реабилитации является дыхательная гимнастика. Она направлена на улучшение вентиляции легких, увеличение объема легочной ткани и восстановление нормального дыхательного ритма. Упражнения могут включать:
- Глубокое дыхание: Пациенту рекомендуется делать медленные и глубокие вдохи через нос, задерживать дыхание на несколько секунд, а затем медленно выдыхать через рот.
- Дыхание с сопротивлением: Использование специальных устройств, таких как дыхательные тренажеры, помогает укрепить дыхательную мускулатуру.
- Упражнения с использованием губ: Выдыхание через сжатые губы помогает замедлить дыхание и улучшить его эффективность.
Физическая терапия
Физическая терапия играет важную роль в восстановлении после осумкованного плеврита. Она включает в себя:
- Упражнения на укрепление мышц: Специально подобранные физические упражнения помогают укрепить мышцы грудной клетки и улучшить общую физическую форму.
- Аэробные нагрузки: Постепенное увеличение физической активности, например, прогулки на свежем воздухе или занятия легким спортом, способствует улучшению кровообращения и обмена веществ.
Диетическое питание
Правильное питание также является важным аспектом реабилитации. Рекомендуется:
- Увеличить потребление белка: Белок необходим для восстановления тканей и укрепления иммунной системы. Включите в рацион мясо, рыбу, яйца, молочные продукты и бобовые.
- Обеспечить достаточное количество витаминов и минералов: Фрукты и овощи должны составлять значительную часть рациона, так как они богаты антиоксидантами и способствуют восстановлению организма.
- Поддерживать водный баланс: Употребление достаточного количества жидкости помогает предотвратить обезвоживание и улучшает общее состояние здоровья.
Психологическая поддержка
Не менее важным аспектом реабилитации является психологическая поддержка. Пациенты могут испытывать стресс и тревогу после перенесенного заболевания. Рекомендуется:
- Обсуждение переживаний: Общение с врачом или психологом может помочь справиться с эмоциональными трудностями.
- Группы поддержки: Участие в группах поддержки позволяет обмениваться опытом и получать моральную поддержку от людей, которые пережили подобные ситуации.
Таким образом, реабилитация после лечения осумкованного плеврита требует комплексного подхода, включающего дыхательную гимнастику, физическую терапию, правильное питание и психологическую поддержку. Следование рекомендациям специалистов и активное участие пациента в процессе восстановления способствуют улучшению качества жизни и предотвращению рецидивов заболевания.



