Пн-пт: 07:30—19:00; сб: 07:30—14:00
whatsapp telegram vkontakte email

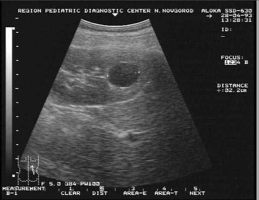
Операция по удалению кисты почки — Болезни почек человека, Кисты на почках (единичные и множественные)

image

image

image

Также можно использовать в лечении кисты и белые грибы

Также можно использовать в лечении кисты и белые грибы. Шляпки гриба укладывают плотно в стеклянную тару и заливают водкой до краёв (чтоб покрыла шляпки). Грибы настаивают две недели в тёмном месте, а затем цедят настой и принимают по чайной ложке, разведенной в 50 мл воды. Настой пьют три раза в день перед едой. Курс до окончания настоя.

Прополис

Также в лечении почек незаменим и прополис. Из него готовят спиртовую настойку. Для этого нужно взять одну часть прополиса и 10 частей водки/спирта. Если хотите узнать, как избавиться от кисты, пейте по 30 капель настойки прополиса, разведенной в стакане охлажденной кипяченой воды трижды в день. В нетрадиционной медицине также используют чистый прополис, который нужно смаковать во рту 15 минут, а затем глотать его.

Ссылка на основную публикацию
Похожее