Пневмоторакс легкого — это состояние, при котором воздух попадает в плевральную полость, что может вызвать коллапс легкого и затруднение дыхания. Это заболевание требует внимательного изучения, так как симптомы могут варьироваться от легких до угрожающих жизни. В статье рассмотрим классификацию пневмоторакса, его причины, основные симптомы, методы лечения и возможные осложнения, что поможет читателям лучше понять это состояние и своевременно обратиться за медицинской помощью.
О болезни
Чтобы понять, что такое пневмоторакс легкого, важно в первую очередь определить этот медицинский термин.
Пневмоторакс представляет собой скопление воздуха или газов в плевральной полости. Это состояние может возникнуть внезапно, даже при отсутствии каких-либо хронических заболеваний. Когда воздух проникает в висцеральную или париетальную плевру, кислород в тканях может вызвать серьезные осложнения. Обычно наличие воздуха в этой области приводит к изменению давления, что становится причиной коллапса легкого.
Частичная недостаточность легкого представляет собой серьезную угрозу для жизни пациента. Однако не всегда пневмоторакс вызывает именно такой эффект. В некоторых случаях заболевание может привести к смещению тканей, что, в свою очередь, вызывает сжатие сосудов.
Опущение диафрагмы, которая отделяет грудную полость от брюшной, может нарушить дыхательные функции, что опасно в любом возрасте.
Проникновение воздуха в плевральную полость может быть вызвано любым повреждением легкого или грудной клетки. При повышении давления в этой области пациент испытывает сильные боли и общее недомогание.
Данная болезнь опасна своими последствиями, так как при пневмотораксе легкие не могут работать должным образом. Нарушение дыхательной функции может привести к ухудшению самочувствия и недостатку кислорода, что крайне негативно сказывается на организме. К сожалению, этот вид воспаления становится все более распространенным. Основная возрастная группа пациентов составляет от двадцати до сорока лет.
Пострадавшему необходима незамедлительная медицинская помощь, так как данное состояние может привести к летальному исходу.
Пневмоторакс представляет собой состояние, при котором воздух попадает в плевральную полость, что может привести к коллапсу легкого. Врачи отмечают, что это может произойти как в результате травмы, так и спонтанно, без видимых причин. Симптомы включают резкую боль в груди, одышку и учащенное сердцебиение. Важно отметить, что пневмоторакс требует немедленного медицинского вмешательства, так как он может угрожать жизни пациента. Врачи подчеркивают, что своевременная диагностика и лечение, включая дренирование плевральной полости, могут значительно улучшить прогноз. Профилактика, особенно у людей с предрасположенностью к этому состоянию, также играет ключевую роль в снижении риска повторных случаев.
https://youtube.com/watch?v=yAHGOnRl8f0
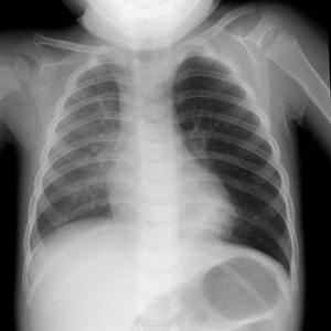
Визуализация
Определить наличие воздуха в плевральной полости самостоятельно невозможно. Начало этого процесса можно заподозрить только по клиническим проявлениям заболевания. Обратите внимание на изображение пневмоторакса:
Диагностика пневмоторакса осуществляется с помощью рентгенографии. На рентгеновском снимке он будет представлен как светлый участок, не имеющий легочного рисунка. Это состояние возникает в результате накопления воздуха в плевральной полости.
При длительном течении заболевания наблюдается спадание легочной ткани, что отчетливо видно на рентгеновском снимке.
| Аспект | Описание | Важность |
|---|---|---|
| Определение | Скопление воздуха или газа в плевральной полости, пространстве между легким и грудной стенкой, что приводит к частичному или полному коллапсу легкого. | Ключевое для понимания сути заболевания. |
| Причины | Травмы грудной клетки (проникающие, тупые), спонтанные (первичные, вторичные), ятрогенные (медицинские процедуры). | Помогает определить факторы риска и предотвратить развитие. |
| Симптомы | Внезапная острая боль в груди, одышка, сухой кашель, учащенное сердцебиение, цианоз (синюшность кожи). | Раннее распознавание симптомов критично для своевременного обращения за помощью. |
| Диагностика | Физикальный осмотр (аускультация, перкуссия), рентгенография грудной клетки, КТ грудной клетки, УЗИ легких. | Необходима для подтверждения диагноза и определения степени коллапса. |
| Виды | Спонтанный: Первичный (без видимой причины), Вторичный (из-за основного заболевания легких). Травматический: Открытый, Закрытый. Напряженный: Жизнеугрожающее состояние. | Классификация помогает выбрать правильную тактику лечения. |
| Лечение | Наблюдение, аспирация воздуха, установка дренажа, плевродез, торакоскопия. | Зависит от размера пневмоторакса, его вида и состояния пациента. |
| Осложнения | Рецидивы, дыхательная недостаточность, эмпиема плевры, напряженный пневмоторакс. | Подчеркивает необходимость адекватного лечения и наблюдения. |
| Прогноз | В большинстве случаев благоприятный при своевременном лечении, но возможны рецидивы. | Важно для информирования пациента и планирования дальнейшего наблюдения. |
Причины развития болезни
Причины возникновения пневмоторакса можно разделить на две основные группы. Первая включает любые повреждения грудной клетки или легких. Травма может произойти механически, когда обломки ребер повреждают легкие. Этот тип считается закрытым и представляет серьезную угрозу для жизни пациента.
К этой же категории относятся проникающие ранения, включая огнестрельные. Открытые травмы встречаются гораздо чаще.
Повреждение легкого также может произойти в ходе хирургических операций или различных диагностических процедур. Наиболее распространенные случаи нарушения целостности легочной ткани происходят при установке катетера или блокаде нервов во время пункции плевральной полости.
Иногда пневмоторакс вызывается искусственно с целью лечения туберкулеза или воспалительных процессов в легких. Этот метод применяется в видеоторакоскопической хирургии.
Для справки! Напряженный пневмоторакс возникает, когда воздух поступает в плевральную полость, но не может выйти. Это создает риск коллапса легкого, что может привести к полной остановке дыхания.
Вторая группа факторов, способствующих воспалению плевры, связана с различными заболеваниями. Наиболее распространенной причиной в этой категории является разрыв легких при эмфиземе.
Эта болезнь представляет собой серьезное состояние, при котором легочная ткань теряет свои функциональные способности. Уменьшение объема альвеол приводит к их разрушению и снижению эффективности легких. Последствия этого процесса могут вызвать нарушения в поступлении кислорода в кровь, что, в свою очередь, приводит к проблемам с выведением углекислого газа. В результате у пациента развивается дыхательная недостаточность.
Пневмоторакс также может возникнуть из-за абсцесса легкого или резкого разрыва пищевода.
Еще одной распространенной причиной воспаления является заболевание плевры, при котором образуются гнойные скопления и происходит перемещение воздуха в плевральную полость. Эта патология сопровождается сильными болями в груди, одышкой, интенсивным кашлем и синдромом обструктивного апноэ.
Для справки! Апноэ – это медицинский термин, обозначающий временную остановку дыхания.
Для данного типа воспаления также характерна синюшная окраска кожи и слизистых оболочек, что связано с высоким уровнем карбоксигемоглобина в крови, пониженным артериальным давлением и выраженной интоксикацией.
Неспецифическое развитие пневмоторакса может быть вызвано прорывом казеозных очагов при туберкулезе.
https://youtube.com/watch?v=tAIxr-Zn6og
Спецификация
Избыточное скопление воздуха в плевральной полости делится на две категории, и его тип определяется источником возникновения.
Классификация пневмоторакса представлена следующим образом:
- При травме или любом другом повреждении грудной клетки устанавливается открытая форма. В этом случае воздух может проникнуть в плевральную полость из внешней среды через наружные повреждения. Разгерметизация представляет серьезную угрозу, так как легкое может утратить свою функциональность, что может привести к летальному исходу.
- Если нет контакта с внешней средой, у пациента диагностируется закрытая форма. Этот тип считается менее опасным и иногда может разрешиться самостоятельно. Тем не менее, при нарушении газообмена существует риск прекращения поступления кислорода в кровь, что может иметь серьезные последствия.
Типы пневмоторакса зависят от степени распространения заболевания. Выделяют левосторонний и правосторонний пневмоторакс. Одностороннее заболевание проявляется спадением одного легкого. Если же оба легких поражены, это указывает на двустороннюю форму.
Тотальный пневмоторакс считается особенно критическим, так как может привести к смерти пациента в любой момент. При этой форме необходима срочная медицинская помощь, так как время играет решающую роль.
Также различают правосторонний или левосторонний пневмоторакс, возникающий в результате травмы или осложнений хронических заболеваний легких.
Важно! Любые патологии легочной ткани представляют опасность для жизни пациента.
В случае необходимости подготовки к хирургическому вмешательству специалисты могут создать искусственный пневмоторакс. Это делается для обеспечения оптимальных условий для дальнейшего лечения. К таким ситуациям относится установка катетера или удаление фрагмента ткани или органа для микроскопического анализа в диагностических целях.
Симптоматика
Симптоматика пневмоторакса и её интенсивность зависят от типа воспалительного процесса и причин его возникновения.
При открытой форме воздух проникает в рану. Пострадавший ощущает сильную боль. Также может возникнуть кровотечение, и грудная клетка становится асимметричной.
Затронутая область испытывает значительную болезненность.
При ограниченном пневмотораксе наблюдаются резкие болевые ощущения, кашель и колющие боли с пораженной стороны. Человек ощущает усиление боли при любых движениях. Часто этот тип сопровождается головокружением, тошнотой, рвотой, одышкой и удушьем. Кожа становится бледной, а слизистые оболочки могут посинеть.
В большинстве случаев накопление воздуха между плевральными листками начинается резко и быстро прогрессирует. Первые признаки заболевания включают болевые ощущения в области груди и одышку.
К другим симптомам заболевания можно отнести:
- спадение легкого;
- воспаление плевры;
- утолщение плевральных листков;
- отек слизистой оболочки;
- нарушения дыхания;
- кашель.
Спустя два-три часа симптомы данного воспалительного процесса могут ослабевать. Боль ощущается только при глубоком вдохе и громком выдохе. Одышка проявляется при физической активности.
Последствия
Осложнения пневмоторакса выявляются примерно в 50% случаев. Обычно пациенты сообщают о поражении плевры, которое может быть вызвано инфекцией, опухолевыми процессами или другими причинами. Скопление жидкости в этой области приводит к развитию патологических процессов.
К числу других последствий пневмоторакса можно отнести:
- попадание крови в пораженную область;
- накопление гноя в плевральной полости;
- образование кровянистого выпота с воздухом между плевральными оболочками;
- проникновение воздуха в плевральную полость;
- значительное нарушение дыхательных функций;
- болезненное и чрезмерное накопление воздуха в органах.
В 25% случаев заболевание может рецидивировать.
Лечение
Избыточное скопление воздуха между легочными листками требует немедленного вмешательства. При появлении симптомов данного состояния необходимо вызвать бригаду Скорой помощи и успокоить пострадавшего. Обеспечьте ему доступ к свежему воздуху, расправьте воротник и снимите все украшения.
Если у пациента открытая форма, наложите стерильную повязку, которая закроет пораженный участок. В случае отсутствия аптечки, можно использовать марлю или вату, а также целлофан для создания примочки.
При клапанном типе заболевания требуется срочная пункция. Эта процедура поможет удалить газ и восстановить нормальное состояние легкого.
После оказания первой помощи пациента необходимо госпитализировать. Квалифицированная медицинская помощь включает в себя пункцию воспаленной области и удаление воздуха из пораженной зоны. Затем врачи восстанавливают необходимое давление в легком.
Заключение
Защититься от возникновения этого заболевания невозможно. Однако для того чтобы предсказать его развитие, пациентам следует своевременно обращаться к специалистам-пульмонологам и полностью лечить все воспалительные процессы в дыхательной системе.
После удаления воздуха из легких важно заботиться о своем здоровье. Больным не рекомендуется заниматься интенсивными физическими нагрузками. Не забывайте проходить медицинское обследование дважды в год.
https://youtube.com/watch?v=x9mGTSQVutU
Диагностика
пневмоторакса начинается с тщательного сбора анамнеза и физикального обследования пациента. Врач должен выяснить, были ли у пациента травмы грудной клетки, операции на легких или другие заболевания, которые могут способствовать развитию этого состояния. Симптомы, такие как острая боль в груди, одышка и учащенное дыхание, могут указывать на наличие пневмоторакса.
Физикальное обследование включает в себя аускультацию легких, при которой врач может обнаружить ослабление дыхательных шумов на стороне поражения. Также может быть заметна асимметрия грудной клетки при дыхании, что указывает на возможное наличие воздуха в плевральной полости.
Для подтверждения диагноза пневмоторакса используются различные методы визуализации. Наиболее распространенным является рентгенография грудной клетки, которая позволяет выявить наличие воздуха в плевральной полости. На рентгеновских снимках пневмоторакс проявляется в виде темного пространства между легким и грудной стенкой, где отсутствует легочная ткань.
В некоторых случаях, особенно если рентгенография не дает четкой картины, может быть назначена компьютерная томография (КТ) грудной клетки. Этот метод обеспечивает более детальное изображение и позволяет выявить даже небольшие объемы воздуха в плевральной полости, а также оценить состояние легких и окружающих тканей.
Дополнительно могут быть проведены ультразвуковые исследования, которые становятся все более популярными в экстренной медицине. УЗИ позволяет быстро и без облучения оценить наличие жидкости или воздуха в плевральной полости, что особенно полезно в условиях неотложной помощи.
В некоторых случаях может потребоваться торакоцентез — процедура, при которой с помощью иглы удаляется воздух или жидкость из плевральной полости. Это не только диагностическая, но и терапевтическая манипуляция, которая может облегчить состояние пациента.
Таким образом, пневмоторакса требует комплексного подхода, включающего сбор анамнеза, физикальное обследование и использование различных методов визуализации. Ранняя и точная диагностика имеет решающее значение для выбора правильной тактики лечения и предотвращения осложнений.
Профилактика
Пневмоторакс включает в себя несколько ключевых аспектов, направленных на снижение риска его возникновения, особенно у людей, подверженных этому состоянию. Основные меры можно разделить на несколько категорий: медицинские, образовательные и поведенческие.
Медицинские меры: Для людей с предрасположенностью к пневмотораксу, например, с хроническими заболеваниями легких или ранее перенесёнными эпизодами пневмоторакса, важно регулярно проходить медицинские осмотры. Врач может рекомендовать рентгенографию грудной клетки или компьютерную томографию для мониторинга состояния легких. В некоторых случаях может быть показано хирургическое вмешательство для предотвращения повторных эпизодов, например, плевродез или резекция легкого.
Образовательные меры: Обучение пациентов и их семей о признаках и симптомах пневмоторакса может сыграть важную роль в раннем выявлении и лечении этого состояния. Знание о том, как распознать симптомы, такие как внезапная острая боль в груди, одышка и учащенное дыхание, может помочь в своевременном обращении за медицинской помощью. Также важно информировать пациентов о факторах риска, таких как курение, высокие физические нагрузки и травмы грудной клетки.
Поведенческие меры: Изменение образа жизни может существенно снизить риск развития пневмоторакса. Это включает в себя отказ от курения, что особенно важно для людей с хроническими заболеваниями легких. Также стоит избегать экстремальных физических нагрузок, особенно в условиях, когда есть риск травмы грудной клетки. Для людей, занимающихся спортом, важно следить за техникой выполнения упражнений и использовать защитное снаряжение при занятиях контактными видами спорта.
Кроме того, важно избегать резких изменений атмосферного давления, которые могут возникать при быстром подъеме на высоту или при полетах на самолете. В таких случаях рекомендуется заранее проконсультироваться с врачом, особенно если у пациента есть предрасположенность к пневмотораксу.
В заключение, пневмоторакс требует комплексного подхода, включающего медицинские, образовательные и поведенческие меры. Своевременное выявление факторов риска и их устранение могут значительно снизить вероятность возникновения этого опасного состояния.
Рекомендации по восстановлению
Восстановление после пневмоторакса является важным этапом в лечении, который требует внимательного подхода и соблюдения определенных рекомендаций. Основной целью восстановительного периода является предотвращение рецидивов и обеспечение полного заживления легких.
Первое, что необходимо учитывать, это необходимость соблюдения режима покоя. В первые дни после лечения пневмоторакса пациентам рекомендуется избегать физической активности и стрессов, чтобы не создавать дополнительную нагрузку на дыхательную систему. Постепенно, по мере улучшения состояния, можно вводить легкие физические упражнения, но только после консультации с врачом.
Вторым важным аспектом является контроль за дыханием. Пациентам могут быть рекомендованы специальные дыхательные упражнения, которые помогут улучшить вентиляцию легких и предотвратить развитие осложнений, таких как ателектаз. Эти упражнения могут включать глубокое дыхание, использование дыхательных тренажеров и другие методики, направленные на укрепление дыхательной мускулатуры.
Третьим аспектом восстановления является регулярное наблюдение у врача. После выписки из больницы важно проходить плановые осмотры, чтобы контролировать состояние легких и выявлять возможные рецидивы на ранних стадиях. Врач может назначить рентгенографию или другие исследования для оценки состояния плевральной полости и легочной ткани.
Также стоит обратить внимание на питание. Правильный рацион, богатый витаминами и минералами, способствует быстрому восстановлению организма. Рекомендуется включать в меню продукты, богатые белком, такие как мясо, рыба, яйца, а также фрукты и овощи, содержащие антиоксиданты.
Кроме того, важно избегать курения и воздействия вредных веществ, так как это может негативно сказаться на процессе заживления. Если пациент курит, ему стоит рассмотреть возможность отказа от этой привычки, что значительно улучшит состояние легких и общее здоровье.
Наконец, стоит помнить о психологическом аспекте восстановления. Пневмоторакс может вызывать страх и тревогу, поэтому важно поддерживать эмоциональное состояние пациента. Общение с близкими, участие в группах поддержки или консультации с психологом могут помочь справиться с эмоциональными трудностями.
Следуя этим рекомендациям, пациенты могут значительно ускорить процесс восстановления и снизить риск повторного возникновения пневмоторакса.





